Smile Correction Dentist in Ameenpur | Redefine Your Smile with Confidence
Experience advanced cosmetic dentistry with the leading smile correction dentist in Ameenpur. From aligners to veneers, we offer personalized treatments to enhance your smile beautifully and naturally.
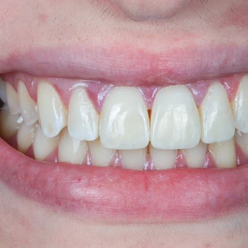
Expert Smile Correction Dentist in Ameenpur for Perfect Smile Makeovers
A beautiful smile can change the way you look and feel. It adds warmth to your personality, boosts self-esteem, and leaves a lasting impression. However, many people hesitate to smile freely because of discolored, chipped, or misaligned teeth. At Dr. B V Reddy’s Speciality Dental Care, we understand how important a confident smile is. As the best smile correction dentist in Ameenpur, our clinic specializes in personalized cosmetic dentistry that enhances your smile’s appearance while maintaining its natural charm. With advanced technology and gentle techniques, we help you achieve the perfect smile you’ve always wanted
What Is Smile Correction and Why It’s Needed
Smile correction, also known as smile makeover or smile design, is a combination of cosmetic and restorative dental procedures that improve the appearance, alignment, and symmetry of your teeth and gums. It’s ideal for individuals who have concerns such as discoloration, uneven spacing, crooked teeth, or a gummy smile. Our smile correction treatments in Ameenpur are designed to enhance your facial aesthetics while keeping your oral health in perfect balance. Using digital imaging, our experts visualize the end result before beginning any procedure, ensuring that every detail complements your facial features.
Advanced Smile Correction Treatments in Ameenpur
At Dr. B V Reddy’s Speciality Dental Care, we offer comprehensive and customized smile correction services that combine technology with artistic precision. Our dentists follow a patient-first approach, ensuring each smile design treatment aligns perfectly with your expectations. Depending on your dental needs, our specialists may recommend one or more of the following cosmetic procedures:
1. Teeth Whitening: Professional whitening treatments to remove stains and restore natural brightness.
2. Porcelain Veneers: Ultra-thin covers that correct discoloration, chips, and minor misalignment.
3. Dental Bonding: A quick and cost-effective solution to fix small cracks and gaps.
4. Invisalign & Braces: Clear aligners and orthodontic options to align teeth without visible wires.
5. Gum Contouring: Reshaping uneven gum lines for a more balanced smile.
6. Digital Smile Design: Advanced technology to preview your new smile before the treatment begins.
Each procedure is performed with precision, ensuring long-lasting and natural-looking results that perfectly complement your facial structure.
Why Choose Dr. B V Reddy’s Speciality Dental Care
Choosing the right smile correction dentist in Ameenpur is essential for achieving both aesthetic excellence and lasting results. Our clinic stands apart for its experience, modern facilities, and patient-centered care. From your first consultation to your final smile reveal, our team ensures every step is comfortable and transparent. We believe that smile correction should not only enhance your looks but also improve your confidence and overall oral health. Our clinic uses minimally invasive techniques to make every procedure smooth, safe, and stress-free.
Benefits of Smile Correction Treatment
Getting a smile makeover can do more than just enhance your appearance — it can transform your overall well-being. Patients who undergo smile correction treatment in Ameenpur experience noticeable improvements in both confidence and daily comfort. Here are a few benefits:
Improved Aesthetics: A brighter, more even smile that enhances facial harmony.
Boosted Confidence: Feel more comfortable smiling in photos and social situations.
Better Oral Health: Correcting alignment and gaps makes it easier to maintain oral hygiene.
Natural & Long-Lasting Results: Modern materials mimic real teeth and last for years.
Painless and Safe Procedures: Advanced techniques ensure minimal discomfort and quick recovery.
At our clinic, every smile we design reflects individuality, confidence, and natural beauty — because no two smiles are the same.
Post-Treatment Care and Long-Term Results
After your smile correction procedure, maintaining your new smile is simple. Our team provides detailed post-care instructions to help you protect your results. Regular brushing, flossing, and dental check-ups are key to keeping your teeth looking bright and healthy. Avoiding foods that cause staining, like coffee and red wine, will also help maintain your smile’s brilliance. With proper care, your enhanced smile can stay beautiful for many years. We schedule periodic follow-ups to monitor your dental health and ensure your smile remains radiant and well-balanced.
Transform Your Smile Today
Your dream smile is just one appointment away. At Dr. B V Reddy’s Speciality Dental Care, we combine expertise, precision, and innovation to provide the best smile correction in Ameenpur. Our experienced team ensures that every aspect of your treatment — from planning to final execution — is handled with exceptional care. We don’t just focus on looks; we focus on creating smiles that feel as good as they look.
If you’re ready to enhance your smile and boost your confidence, it’s time to take the next step. Book your smile makeover consultation today and experience the transformation that a perfectly designed smile can bring to your life.