Best Pediatric Dentist in Ameenpur | Gentle Dental Care for Kids
Best Pediatric dentist in Ameenpur – Your Child’s Smile, Our Priority
A child’s smile is precious — and keeping it healthy from the start builds confidence that lasts a lifetime. At Dr. B V Reddy’s Speciality Dental Care, we understand that visiting a dentist can be intimidating for children. That’s why we’ve created a warm, friendly, and comforting environment where kids feel safe and happy during every visit.
If you’re looking for the best pediatric dentist in Ameenpur, our experienced team provides gentle, specialized dental care tailored to children of all ages — from toddlers to teens.
Why Choose a Pediatric Dentist for Your Child?
A pediatric dentist is specially trained to handle the unique dental needs of children — including preventive care, cavity management, growth monitoring, and habit counseling. Unlike general dentists, pediatric specialists use child-friendly techniques and tools that make every visit stress-free and educational.
At Dr. B V Reddy’s Speciality Dental Care, our kids’ dental specialists in Ameenpur focus on early prevention and positive dental experiences, helping children develop lifelong oral hygiene habits. Whether it’s your child’s first dental visit or a follow-up for ongoing care, our team ensures gentle treatment and patient comfort.
Comprehensive Children’s Dental Care in Ameenpur
Our pediatric dental clinic in Ameenpur offers a full range of preventive and restorative dental treatments designed specifically for kids. We focus on creating healthy smiles through a combination of advanced technology, compassionate care, and age-appropriate guidance.
Our pediatric services include:
Routine dental check-ups and cleanings
Fluoride treatments and dental sealants
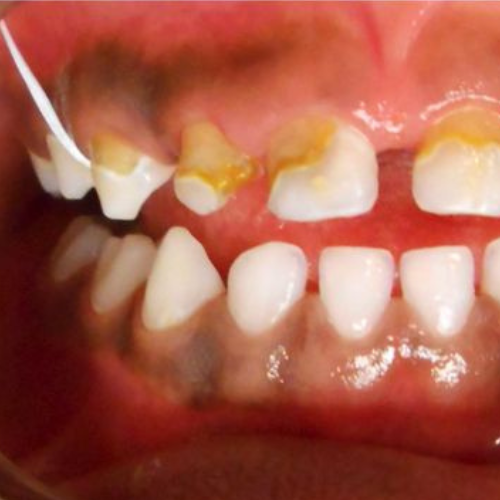
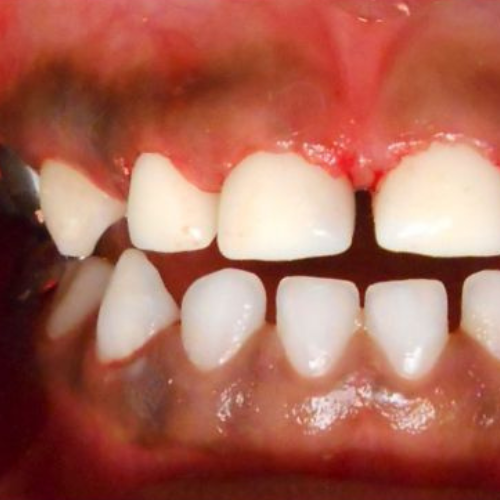
Cavity fillings and preventive restorations
Painless tooth extractions (when necessary)
Space maintainers for growing teeth
Habit counseling for thumb sucking or nail biting
Emergency dental care for kids
With a gentle touch and child-centered approach, we make dental visits comfortable and fun.
The Importance of Early Dental Visits
According to pediatric dental experts, children should visit the dentist by their first birthday or within six months of their first tooth eruption. Early check-ups help detect potential issues before they become major problems.
At our children’s dental clinic near Ameenpur, we focus on preventive care — helping parents and children learn the best oral hygiene practices. Regular visits also help reduce anxiety and ensure your child feels confident about dental care.
Painless Dental Treatment for Children
We know that children are often anxious about dental procedures. Our painless pediatric dental treatments in Ameenpur are designed to ensure every visit is smooth and stress-free. Using gentle techniques, advanced tools, and behavior management methods, we help kids stay calm and comfortable throughout their treatment.
For young patients who need extra comfort, we also offer safe and child-appropriate sedation options under professional supervision.
Why Parents Choose Dr. B V Reddy’s Speciality Dental Care
Parents trust Dr. B V Reddy’s Speciality Dental Care as the best pediatric dentist in Ameenpur because of our compassionate care, advanced technology, and focus on preventive dentistry.
Here’s why families love us:
Experienced pediatric dental specialists
Kid-friendly environment and staff
Playful, anxiety-free dental visits
Advanced sterilization and safety protocols
Affordable treatment plans for families
Personalized care for every child’s needs
Our goal is to make every child’s dental journey positive — ensuring a lifetime of healthy, happy smiles.
Preventive Dental Care for Kids
Preventive dentistry is the foundation of lifelong oral health. Our kids’ dental clinic in Ameenpur emphasizes early prevention through regular cleanings, fluoride treatments, and sealants that protect young teeth from decay.
We also teach kids the importance of brushing, flossing, and eating healthy foods that support strong teeth. With early intervention and guidance, your child can avoid common dental problems and enjoy a confident smile.
Emergency Dental Care for Kids in Ameenpur
Children can sometimes face sudden dental issues such as tooth pain, broken teeth, or accidents while playing. Our clinic provides emergency dental care for children in Ameenpur, ensuring prompt relief and treatment when needed most.
We’re equipped to handle pediatric emergencies gently and efficiently, minimizing discomfort and preventing long-term damage.
Creating Positive Dental Experiences
We believe that a child’s first few dental visits shape their attitude toward oral care for life. That’s why our pediatric team focuses on creating joyful, reassuring, and educational experiences.
From colorful clinic decor to fun explanations of dental tools, every detail is designed to make kids feel at ease.
Our friendly dentists explain each step in simple terms, turning fear into curiosity — and smiles into confidence.
Conclusion
Your child deserves the best care for their growing smile. At Dr. B V Reddy’s Speciality Dental Care, we’re proud to be recognized as the best pediatric dentist in Ameenpur, offering gentle, safe, and effective dental treatments for children.
From preventive care to advanced dental procedures, our compassionate team ensures a fun, fear-free experience every time. Give your child the gift of a healthy smile that lasts a lifetime.
Book your child’s appointment today and discover why families across Ameenpur trust us for their kids’ dental health.